폐암은 우리가 들이마신 공기 중의 산소를 혈액 속으로 받아들이고 혈액 속 해로운 불순물인 이산화탄소를 바깥으로 밀어내는 역할을 하는 폐에 생기는 악성 종양이예요.
지금 당장 폐암 초기증상에 대하여 알아보고 암 진단에 대해서도 정리해 볼게요.



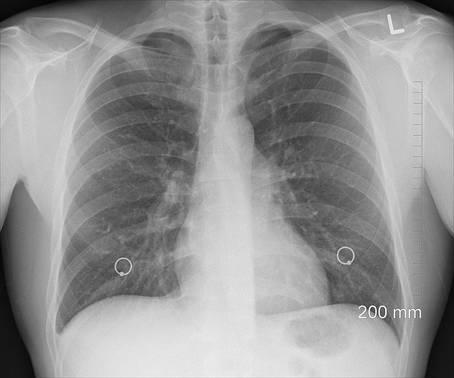
폐암 초기증상 찾아보기
암이란 몸속의 정상적인 세포들이 돌연변이를 유발하면서 발생한 이상세포들을 말해요. 암이 생겨나게되면 다른 장기로 전이되며 증식을 자꾸 일어나서 장기의 기능을 훼손을 의미해요.
폐암은 암 사망률 1위이면서, 발생도 4위일 정도로 병이 나서율이 높은 암이면서 조기 발견이 어렵습니다. 폐암은 소세포암과 비소세포암으로 나뉘는데 소세포암은 전이가빠르고 악성 정도가 높아 무서운 암이라고 할 수 있습니다.
지인 중에 담배를 좋아하고 술을 매일 마시던 분이 계신데 그분이 급성 폐암으로 말기판정을 받아서 대수술을 한 추세이 있다고 하는데 그렇게 건강하고 활발하던 분이 요즘엔 수술 후유증으로 호흡자체도 어렵다고 해요.
모든 분들이 초기증상이 의심되면 병원을 바로 내방하셔서 조기에 발견해서 완치하셨으면 좋을듯 동일합니다.



폐암의 종류
1) 비소세포암
비소세포암은 폐암 전체의 약 70% 입수할리만큼 대개 비소세포암이 생겨나게 돼요. 비소세포암은 편평상피암, 선암, 대세포암으로 나누어져요.
- 편평 상피세포암
- 선암
2) 소세포암
폐암가운데 15~20%는 소세포폐암으로 악성도가 높은 암이희망하더라고요. 소세포암은 발견 당시 이미 림프관, 혈관을 통해 다른장기나 반대편폐, 종격, 심장, 기관, 식도, 대동맥 등으로 전이되는 경우가 많으므로서 치료 후 경과가 굉장히 좋지않은 암이에요.



폐암 초기증상 11가지
1. 가슴 통증
폐암 환자의 30% 이상이 가슴 통증을 호소하더라고요. 초기에는 날카로운 통증이, 진행이 되면 크고 무거운 통증이 느껴질 수 있고요. 이런 증상을 보이는 경우에는 다짜고짜 병원을 방문해서 검사를 받아보시기 기도하더라고요
2. 호흡 곤란
폐암 환자의 반절 크기가 숨이 차다고 느낍니다. 암 덩이가 커져서 호흡이 가쁘다고 인지하는 경우도 있겠지만, 폐암으로 인한 흉막삼출(가슴막삼출이라고도 하며 폐를 둘러싼 두 겹 흉막 사이의 좁은 공간에 흉수라고 불러내는 삼출액이 차는 현상)이나 폐허탈(종양이 기관지를 막거나 흉수가 차는 바람에 폐포의 공기가 급속히 빠져나가 폐가 짜부러지는 것), 상기도 폐색 등이 호흡곤란을 유발하기도하더라고요.
3. 체중저하
폐암 뿐더러 암 병에 걸려의 가장큰 전조증상중 하나로 사람의 몸에 기력이 떨어진다거나 이로인해 식용감퇴, 체중저하를 동반할수도 있고요. 특별히 살을 뺴려고 매진하지 않았음에도 요근래 몸무게가 많이 저하되신 분들이 계시다면 반드시 검사를 진행해보아야합니다.
4. 땀이 엄청 많이 나는 현상
점성이 있는 진한 땀을 정말 많이 흘립니다. 밖에 나가 활동을 하는데 조금만 해도 등에서 팔꿈치까지 땀이 줄줄 흘립니다. 휴식을 하면 괜찮아지는데, 또 일을 시작하면 얼마 지나지 않아 같은 증상이 반복되기도 합니다 이런 분들이 꽤 있는 것으로 아는데 의심되면 병원 검진을 받아보세요.
5. 피 섞인 가래
객혈은 폐암 환자의 25~50%가 겪는 증상으로 폐암 초기 증상 중 1개이지만 다짜고짜 폐암 때문이 아니기 때문에 출혈이 계속하여 반복된다면 그때 검사를 받아보시는 것이 좋습니다.



6. 쉰 목소리
목소리를 내는 기관인 성대를 조절롤하는 신경은 폐와 기관 사이의 공간을 지나가는데, 폐암이 이 신경을 침범하면 성대에 마비 증상이 오고 그로 인해 목소리가 쉬기도 해요.
7. 상대정맥 증후군 발생
상대정맥증후군 이란 상대정맥 근처에 폐암이 발생해서서 상대정맥을 내내리누를 때 생기는 증상을 말 해요. 혈액순환 장애가 생겨서 머리와 팔이 심하게 붓게 되고, 호흡곤란, 가슴 정맥 돌출 등의 증상이 나타날 수있고요.
8 . 신경증상이나 양팔이 부풀어 오르는 증상
폐암이 진행되어 암세포가 전신에 퍼진 경우 수많은 표준적인 증상이 보여집니다. 예를 들어, 뇌로 전이됐을 경우는 현기증이나 손발의 마비로 발견될 수 있어요.
국소에서 증대된 암이 커지고 침투한 부위에 따라 손가락의 신경통이나 자율신경에 이상을 가져 눈꺼풀이 내려오는 등의 신경 증상이 나타납니다니다. 또한 상대정맥에 암세포가 들어가면서 날쌔게 양팔이 부풀어 오르는 경우도 있다고 합니다.
9. 기침
폐암 초기증상 중가장 수시로 보이는 것이기도 하며 폐암 환자의 50~75%가 겪는 증상으로 기침이 한 달 이상 연속된다면 폐암에 대한 검진을 받아보셔야하더라고요. 폐암의 주원인은 흡연이라고 합니다. 폐암 까닭의 약 90%를 구성하는 것으로 추측되고 있는있다는데, 흡연자는 비흡연자보다 폐암에 걸릴 위험이 15 ~ 80배나 높다고 합니다.흡연자분들은 건강을 위해 CT촬영, 흉부 엑스레이 등의 검진을 주기적으로 받는 것을 권고드립니다 하겠습니다.
10. 뼈 통증과 골절 발생
폐암이 진행될 수록 몸의 다른 부위로 전이되게 됩니다. 폐암이 뼈로 전이될 경우 그 부위에 과격한 통증과 외부 충격이 없었지만 골절이 일어나기도하고요. 폐가 아닌 뼈라서 폐암을 의심하는 경우가 거의 없어서 진단이 늦춰지는 케이스이기도 합니다.
11. 두통
폐의 암세포가 뇌로 전이도면 머리가 아프고 구역질이 나기원하고요. 두통 역시 일상적으로 많이 일어나는 증상이기 때문에 그냥 넘기기 손쉽지만 식욕부진과 같이 지속적인 두통이 생겨난다면 폐암을 의문스러워해 볼 필요가 있어요.
두통은 폐암세포가 뇌에 전이되어 혈관에 압력을 가할 때 발생해요. 이 전이는 동맥에서 뇌로 흐르는 혈류량을 낮게 만들어서 머리를 지끈거리게하더라고요. 과격한 두통을 치르고 있다라고 하면 반드시 병원에 가보아야 합니다.



폐암 진단방법
폐암 진단 방법에는 다양한 검사가 있고요. 폐암으로 의심되는 증상이 있을 경우 흉부 x선 촬영, 흉부 CT촬영, 기관지 내시경 검사, 객담검사 등을 이용해서 폐암인지 가부를 확인해 보는 것이 좋을 거예요.
폐암 예방법
최고 기초적인 예방은 바로 금연입니다. 담배를 피우지 않고 담배 냄새가 나지 않는 곳으로 다녀야 하며, 보통 때 집의 공기를 청결하게 해 주고 미세먼지가 많은 날에는 마스크 착용을 필수로 하고 외출을 해야 하겠습니다.
직업적인 발생의 까닭으로는 석면, 크롬에 많이 노출되는 환경이 폐암의 원인으로 지적되고 있으며 숨쉬는이기 질환이 폐암의 유발요인이 되기도 하기때문에 가능하게되면 이론 곳에 노출이 되지않아도 되도록 유의해야하고요.
또한 폐암에 좋은 식품을 일정기간으로 섭식하여 발병율을 낮추는 것도 또 하나의 방법이라고 할 수 있습니다.



폐암에 좋은 식품
1) 생강
생강에 함유된 진저롤 성분은 기침이나 가래를 저하시키는 좋은 효과를 보이고 암세포를 억제시켜 주어요.
2) 해조류
만족한 수분 섭취와 해조류 섭취는 몸의 점액을 묽게 만들므로 폐암환자의 컨디션 회복에 도움이 돼요. 김, 미역, 다시마 같은 해조류의 경우 천연 항암성분인 후코이단을 함유돼고있있다는데 특히나 미역귀에 후코이단 포괄하고이 많으므로니다.
3) 토마토
많이 가지고 있는 라이코펜이 폐암 예방과 망가진 폐를 좋아지는하는데 도와줍니다 당근에는 베타카로틴이 내포되어 있다고 하는데 항산화 기능을 해준다고 하고 폐 기능을 보존하는데 돕습니다 생강에 소유하고 있는 진저롤 성분은 기침이나 가래, 세균 감염에 좋아요.
4) 브로콜리
브로콜리에는 설포라판이라는 성분이 많이 함유있다는데, 이 성분은 유황 화합물이 포함되어 있습니다. 이 성분은 폐에 붙어있는 세균, 담배 찌꺼기 등과 진배없는 유해 물질을 씻어내는 역할을 해요.



5) 녹차
녹차에 함유된 항산화 역할을 하는 카테킨은 니코틴 해독을 도운다고 해 체내에 쌓여있는 담배의 독성을 체외로 배출해주는 식품인데요
6) 율무
율무는 폐 기능을 활성화 시켜주고, 흡연으로 인해 생기는 가래를 거두게 해 주며 니코틴 해독 효과가 있는 폐에 좋은 식품, 폐암에 좋은 식품이고요.
7) 사과
사과도 복숭아와 같이몸건강에있는 니코틴을 분해해 폐 기능 심화에 도움을 주며 플라보노이드 성분이 있어 폐암에도 효과가 좋은 식품이고요.



이제까지 폐암 초기증상에 대해 알아보았습니다. 폐암을 미리 막기 위한 방문하신 분들은 예방 방법에 관해서 반드시 읽어보세요. 그리고 초기 증상이 의심되는 분들은 하루라도 빨리 병원을 방문하시면 좋겠습니다.
▶ 건강 인기글 더보기
피부암 생존율 알아보기
피부암은 다양한 형태로 나타나는 암 중에서 매우 흔한 질병이며, 지속적으로 증가하는 추세를 보이고 있습니다. 그러나 피부암 생존율은 다른 암에 비해 비교적 높은 편입니다. 이는 조기 발견
elic.bluepang.com
아스퍼거 증후군 증상 치료법
아스퍼거 증후군에 대해 궁금하신가요?오늘은 아스퍼거 증후군 증상과 해결을 위한 아스퍼거 증후군 치료법에 대해서 알아보겠습니다.아스퍼거 증후군 증상, 치료법아스퍼거 증후군은 자폐 스
elic.bluepang.com
간에 좋은 음식 10
간이라고 하는 장기는 우리 몸의 에너지를 제어하고고, 영양분 저장, 필요 물질전환을 하고 이 물질을 타 장기와 사람의 몸에 공급해 주는 역할을 실행해요.지금부터 간에 좋은 음식 10가지 이상
elic.bluepang.com
'건강관련' 카테고리의 다른 글
| 루테인 효능 부작용 (4) | 2025.07.21 |
|---|---|
| 보스웰리아 효능 부작용 (4) | 2025.07.09 |
| 허리 근육강화 운동 (1) | 2025.07.04 |
| 수면장애 증상 치료 예방 (2) | 2025.07.03 |
| 당뇨수치 기준 알아보기 (1) | 2025.07.02 |